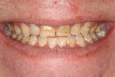
Cases in veneers

Click Images below for a more detailed view. Individual results may vary.

Shelby

February 22, 2017
by content.team

Liked this page? Share with your friends.



SmileTexas®

Because Experience Matters ®

Call Today to Schedule Your Complimentary Consultation:

281.265.7645

Schedule a Consultation!